根据《事业单位人事管理条例》《陕西省事业单位公开招聘工作人员实施办法》及相关规定,伟德官网下app官方网站2025年面向社会公开招聘博士学历工作人员若干。现将有关事项公告...
长期以来,高龄被视为手术治疗的重大挑战之一,因患者常伴有多种基础疾病、器官功能衰退等复杂情况,手术风险极高。近日,伟德官网下app官方网站腹部肿瘤外科与麻醉手术部不畏...
近日,妇瘤病院四病区王国庆主任医师团队,在手术麻醉部的密切配合下,运用第四代“达芬奇”机器人系统,成功开展我院首例单孔达芬奇机器人全子宫双附件手术,这一创新...
为加快肿瘤防控领域的创新突破和普及推广,有效提升肿瘤临床诊疗能力,带动陕西省肿瘤防治整体水平的提升,由伟德官网下app官方网站主办的国家恶性肿瘤临床医学研究中心分中心...
近日,伟德官网下app官方网站妇瘤病院王国庆主任医师团队使用磁牵引术野暴露系统成功为一名患者实施单孔腹腔镜下双侧附件切除术。“外科手术腔镜化,腔镜手术单孔化”是微创外...
近日,陕西省卫生健康委第三批省级专科护士培训基地名单公布,继省级肿瘤专科护士培训基地后,我院再获批省级安宁疗护专科护士培训基地。今年5月,省卫健委启动第三批省...
近年来,甲状腺恶性肿瘤的检出率呈直线上升,并且有明显年轻化趋势,尤多见于女性。传统的甲状腺开放手术切口位于颈部,术后外露的瘢痕会影响美观,尤其是年轻女性,或...
6月22日,由我院承办的陕西省抗癌协会“手术室整合护理专业委员会成立大会”暨“基于隔离技术的手术室精细化管理学术交流会”在西安召开。陕西省抗癌协会理事长宋张骏、...
6月23日,由国家卫生健康委人才交流服务中心主办,伟德官网下app官方网站承办的“肿瘤精准放疗专项技能培训项目”西北地区培训班(第一期)顺利开班。国家卫生健康委人才中心培...
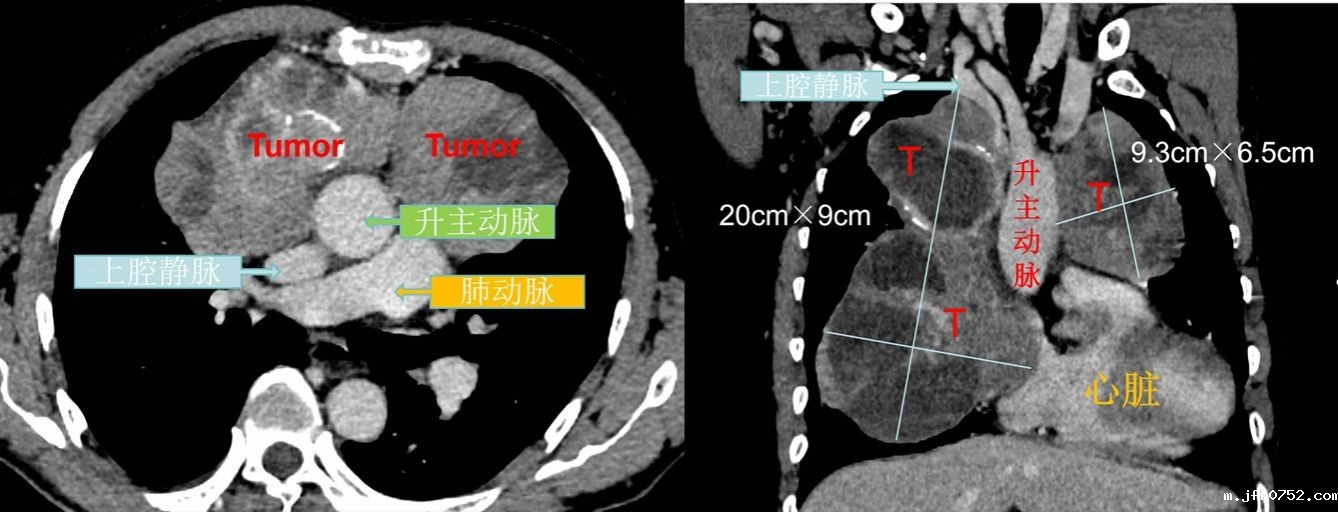
4月下旬,我院胸部肿瘤外科为1例巨大纵隔肿瘤患者成功实施纵隔肿瘤根治性切除手术。目前患者恢复良好,已顺利出院。2023年底,来自陕南的48岁魏先生因胸前压痛,就诊当...